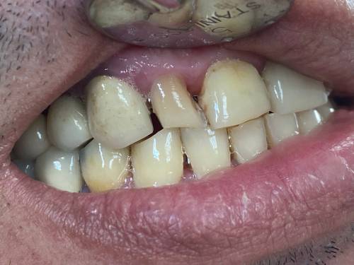
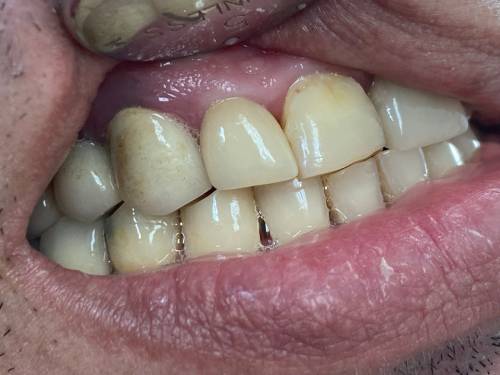
Your smile is one of the first things people notice—and at Ararat Dental Jersey City, we believe everyone deserves to feel confident when they smile. As the best family dentist in Jersey City, we proudly offer composite veneers as a simple, affordable, and minimally invasive way to transform your teeth and enhance your overall appearance.
What Are Composite Veneers?
Composite veneers are thin layers of tooth-colored resin applied directly to the surface of your teeth. They are custom-shaped and polished to improve the size, color, and symmetry of your smile. Composite veneers are an excellent solution for correcting:
- Chipped or broken teeth
- Gaps between teeth
- Stained or discolored teeth
- Uneven or worn enamel
- Minor alignment issues


Why Choose Composite Veneers?
Many patients choose composite veneers because they provide beautiful results with minimal dental work. As the best family dentist in Jersey City, Ararat Dental focuses on conservative and patient-friendly treatments.
Benefits include:
- Little to no enamel removal
- More affordable than porcelain veneers
- Often completed in just one visit
- Natural-looking and comfortable
- Easily repairable if damaged
The Composite Veneer Process at Ararat Dental Jersey City
When you visit Ararat Dental Jersey City, you’ll receive personalized care in a welcoming environment designed for the whole family.
- Smile Consultation
We listen to your concerns and evaluate whether composite veneers are right for you. - Customized Design
The shade and shape are carefully selected to match your natural smile. - Application & Sculpting
The composite material is applied and artistically shaped for optimal results. - Polishing & Final Result
Your new smile is polished for a smooth, natural finish.
How Long Do Composite Veneers Last?
With proper care and regular visits to the best family dentist in Jersey City, composite veneers typically last 5–7 years or longer. Daily brushing, flossing, and routine dental checkups help maintain their appearance and durability.
Are Composite Veneers Right for You or Your Family?
Composite veneers are ideal for adults and teens looking to improve their smile without extensive dental procedures. Our team will guide you through all available options to ensure the best results for your oral health and lifestyle.
Trust the Best Family Dentist in Jersey City for Your Smile
At Ararat Dental Jersey City, we combine modern cosmetic dentistry with compassionate family care. Whether you’re improving your own smile or seeking a trusted dentist for your loved ones, you can feel confident choosing the best family dentist in Jersey City.
Conveniently located in Jersey City
Book your consultation today and discover how composite veneers can transform your smile.






